Menü

All-on-four

High-tech megoldás a teljes fogatlanságra
Mit lehet tenni akkor, ha bármely okból elveszítette fogainak nagy részét, vagy mindet és ezzel együtt nagy mértékű lágyrész és csont hiány is kialakult a szájában?
Nem szeretne kivehető fogpótlást viselni.
Nem szeretne a műtétek idejére ideiglenesen sem kivehető fogpótlást viselni.
Nem szeretne számos, hosszan tartó csont és lágyrész pótló műtétet.
Szeretné, ha a lehető legrövidebb idő alatt (3-4 hónap) elkészülne az implantációs fogpótlása.
Szeretné, hogy a műtétek száma kevés legyen és a lehető legrövidebb ideig tartsanak.
Szeretné, hogy a beavatkozások a legkevésbé fájjanak.
Szeretne a műtét gyógyulásának idején is rögzített fogpótlást viselni.
Szeretné szép, jól használható, rögzített, biztonságos fogakkal élni az életét.
Szeretné, ha hiányos fogazata miatt beesett arcformája kisimulna és néhány évvel fiatalabbnak látszódna.
Szeretné, ha szájpadlása szabadon lenne és ott is újból érezné az ízeket.
Szeretné, ha a kisebb számú implantátum behelyezése miatt a szájában elkészülő fogpótlás olcsóbb lenne.
Akkor erre a jól kidolgozott, hosszú távon biztonságosan működő, prémium minőségű anyagokat és módszereket használó implantációs és fogpótlási technikára van szüksége:
All-on-4 = Teljes foghiány pótlása csontpótlás nélkül, 4 implantátumon rögzített körhíddal

A kezelés célja: 4 db implantátumon rögzített csavarozható hídprotézis készítése.
A technika lényege, hogy, a fogmű viselésére alkalmas megfelelő méretű fogászati implantátumokat olyan szögben helyezzük el, hogy a meglévő csontformát és mennyiséget kihasználva a lehető legvastagabb csontban legyenek. Ez lehetővé teszi, hogy kevesebb fogászati implantátum csontpótlás nélkül is hosszú távon alkalmas legyen, a rágásból eredő nagy erőhatás elviselésére is.
Abban az esetben, ha az implantátumok behelyezése a szájban meglévő csont nem elegendő, akkor a szájon kívül az arc csontjaiba lehet helyezni az implantátumokat. Ez a terület a járomcsont (os zygomaticus), esetleg az ékcsont (os sphenoidale).

Az implantátumok behelyezése történhet akár a fogak eltávolításával egy időben. Amennyiben már nincsenek fogai ez tovább egyszerűsíti az eljárást. A beavatkozás állcsontonként  kb. 2 órát vesz igénybe az ideiglenes rögzített fogpótláshoz szükséges mintavétellel együtt. A műtéti terület jól érzésteleníthető. Én sem érezem magam jól, ha miközben dolgozom fájdalmat okozok a kezem alatt lévő embertársamnak. Arról nem is beszélve, hogy fájdalomtól izgő-mozgó betegen nem is lehet megfelelő minőségű munkát végezni. Azonban, ha nagyon fél, akkor lehetőség van altatásra is.
Az implantátumok behelyezését általában szikével történő metszés után lebenyes feltárásból végezzük. Azonban a digitális technika egyes esetekben ma már lehetővé tesz feltárás és varrás nélküli műtéti sablonnal végzett műtétet is. Mivel a beavatkozás előtt minden esetben rutin-szerűen 3 dimenziós rtg felvételt, CBCT-t készítünk, ennek adatai alapján amennyiben ezt a high-tech beavatkozást szeretné, – amely kevésbé véres, a műtét után kevésbé fájdalmas és kisebb a duzzanat,- akkor kérheti az implantációs sablonnal végzett műtétet.
A műtétet követően harapás rögzítés, fogpróba majd a műtéti duzzanat csökkenése után (4-7 nap) az implantátumokra csavarozott ideiglenes műanyag fogpótlás behelyezése történik. Az első 8 héten szigorúan tilos a rágás. A fogmű és az implantátumok tisztítása fontos. Az ehhez használatos eszközöket megmutatjuk és használatukra megtanítjuk. 3-4 hónap alatt, a csontgyógyulás ideje alatt 2-3 kontroll vizsgálat szükséges.

Minimálisan 3-4 hónap elteltével végleges implantátumokra csavarozható hídprotézis elkészítése csúcsminőségű CAD/CAM technológiával. Az elvesztett csont és lágyrészek esztétikus pótlása rózsaszín porcelánnal történik. A végleges fogpótlás anyaga többféle lehet, a választás a beteg esztétikai elvárásaitól függ.
A végleges fogpótlás elkészítésénél figyelembe vesszük az ideiglenes viselése során felmerülő igényeket és annak ismeretében változtatunk rajta. Ez a munkafolyamat is több fázisból áll: mintavétel, minta visszaellenőrzése, vázpróba, matt próba, harapás összecsiszolása, végleges hídprotézis felerősítése és a csavarbemenetek tömőanyaggal történő zárása. Elkészítés ideje minimálisan 2 hét, de ezen idő alatt az ideiglenesen korábban elkészült pótlást végig viselni tudja.
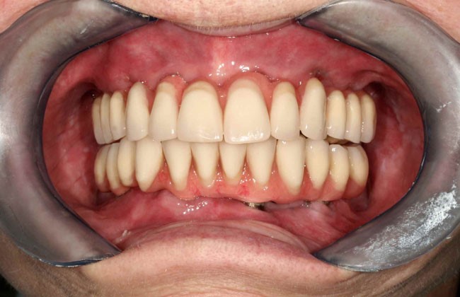
A képek csak illusztrációk (a szájról készült fényképen cocr vázra égetett porcelán pótlás látható) a munkafolyamatok és a fogpótlás szerkezetének könnyebb megértése érdekében. Az ön fogpótlása csak hasonlóan fog kinézni, csak a jellege ugyanilyen. A szürke csavarozható elemek a mélyben látszódhatnak, a rózsaszín íny és a fogak átmenete hasonló lesz, de az elveszett csont és lágyrészek mennyisége, az íny lefutása, az implantátumok helyzete, helye mindenkinél más így a pótlás kinézete is változik.
Az elkészült munkára garancia abban az esetben adható, ha 6 havonta rendelőnkben kontroll vizsgálatokon és professzionális tisztításon vesz részt. Az implantátumokra élethosszig tartó garanciát ad a gyártó cég. Ez azt jelenti, ha bármilyen okból elveszítünk implantátumot, akkor annak cseréje során csak műtéti díj kerül felszámolásra. A végleges fogműre 3 év garanciát vállalunk.

Foglaljon időpontot

Küldjön üzenetet, lorem ipsum dolor sit amet…

Foglalás