Menü

A fogászati góc

A góc egy letokolt, régóta fennálló és hosszútávon tüneteket nem okozó gyulladás, amelyből baktériumok és az azok által termelt toxinok jutnak más szervekbe, ahol egy másodlagos betegséget okozhatnak. A “góckérdésben” az orvostudományon belül nincs egységes álláspont:vannak olyanok, akik elfogadják, mások elvetik a góc elméletét. Az utóbbi évek kutatásai és a klinikai tapasztalatok azonban mégis igazolni látszanak a gócelmélet igazságát.

Melyek a fogászati gócok?

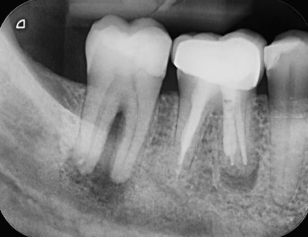
A fogászati gócok közé tartoznak: a mély fogszuvasodás, a fogágybetegség , a fog gyökércsúcsa körül a csontban jelentkező elváltozás (granuloma, vagy cysta), a bennmaradt foggyökér, az elő nem bújt fogak (például a bölcsességfog, szemfog), amelyek környezetében gyulladás lehet.

Melyek lehetnek a kialakuló második („góc”) betegségek?

Második betegségként az ízületek, a látószerv gyulladásos folyamatai, különféle bőrbetegségek, szívbelhártya-gyulladás, és a vese gyulladásos betegségei a legismertebbek.

A nyombélfekély, cukorbetegség, koraszülés, heregyulladás, szívinfarktus második betegségként való megjelenéséről szóló tudományos értekezések kis száma miatt és a felmérések során talált nem egyértelmű összefüggések miatt csak óvatosan lehet nyilatkozni. Ezen kívül az is hozzájárul a kérdés sokszínűségéhez, hogy egyes estekben megjelennek ezek a másodlagos betegségek, míg más betegeknél nem. Ebből is látszik, hogy a gócbetegség megjelenésében nagy szerepet játszik az immunrendszer aktuális állapota.

Hogyan észlelhető a fogászati góc kialakulása, és mi a teendő, ha kialakult?

A fogászati góc kialakulását röntgenfelvételek, esetleg CBCT segítségével lehet diagnosztizálni. Gyógyítani a góc eltávolításával lehet. Ennek egyértelmű módja a fog eltávolítása. Mivel minden gyanús fogat nem lehet eltávolítani, ezért megpróbálkozunk – pl. fogtöméssel, gyökérkezeléssel, gyökércsúcs amputációval, a fogágy betegség komplex kezelésével – az elsődleges gyulladás megszüntetésével.

Foglaljon időpontot

Küldjön üzenetet, lorem ipsum dolor sit amet…

Foglalás